Nos examens

Examen du crâne - Otologie

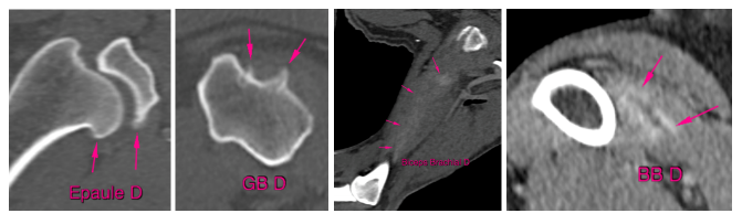
Orthopédie

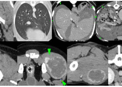
Oncologie

Thorax - Abdomen

Centre d’imagerie pour animaux

Un scanner, aussi appelé examen tomodensimétrique a pour objectif d’obtenir des images internes d’une ou de plusieurs partie du corps de votre animal.

L’examen ne dure que quelques minutes grâce notre scanner de dernière génération et permet de rapidement poser un diagnostic.

Pour plus de renseignements

03 89 75 50 70

Chiens

Chats

NAC

Domaines d’expertise

Examen du crâne

C’est une zone anatomique difficile à explorer et le recours au scanner est irremplaçable dans de très nombreuses indications : épilepsie, tumeur cérébrale, malformation encéphalique, dysplasie occipitale, hématome intracranien, fracture, otite moyenne ou interne, polype naso-pharyngé etc.

Orthopédie

Caractérisation et visualisation des fractures en 3D qui rendent la planification chirurgicale beaucoup plus précise et efficace, malformations, tendinites, ostéochondrose, fragmentation du processus coronoïde médial, hernie discale, kyste vertébral, diverticule arachnoïdien, spondylodiscite.

Oncologie

Caractérisation des tumeurs, bilan d’extension, planification chirurgicale.

Thorax

Epanchements pleuraux et médiastinaux, fibrose pulmonaire, torsion de lobe, pneumonie, pneumomédiastin, bilan d’extension des tumeurs.

Abdomen

Exploration des tous les organes abdominaux, malformations vasculaires (shunt, anévrysme), uretère ectopique.